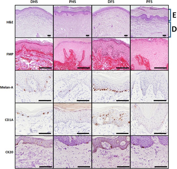
Skin Layers Histology
The organ constitutes almost 8 20 of body mass and has a surface area of approximately 16 to 18 m2 in an adult. Undoubtedly the skin is the largest organ in the human body.
5 Layers Of The Epidermis 1 Stratum Corneum 2 Stratum
Introduction to skin histology the skin is considered the largest organ of the body and has many different functions.
Skin layers histology. This article will describe the anatomy and histology of the skin. Three layers of skin. This epidermis of skin is a keratinized stratified squamous epithelium.
This diagram shows schematically the four different layers found in the epidermis of most skin thin skin. The dermis is attached to an underlying hypodermis also called subcutaneous connective tissue. Layers in the epidermis.
Basic skin histology the skin is divided into two main regions the epidermis and the dermis. The basal layers of this epithelium are folded to form dermal papillae. A thin outer portion that is the keratinised stratified squamous epithelium of skin.
Literally covering you from head to toe. Thin skin contains four types of cellular layers and thick skin contains five. Cells divide in the basal layer and move up through the layers above changing their appearance as they move from one layer to the next.
The epidermis is important for the protective function of skin. Basic skin histology 1.
Histological Skin Structure Diagram Do It Easy With
Blue Histology Integumentary System
Blue Histology Integumentary System
Pin By Maria Kozlova On Biology Medicine Skin Anatomy
Structure Of The Epidermis Veterinary Histology
Various Layers Of Skin Are Noted In This Histology Slide Of
Normal Skin Histology Dr Sujeet Kumar
Blue Histology Integumentary System
Histoquarterly Skin Histology Blog
Is Only The Top Layer Of Skin Cells Alive Socratic
Skin Histology Flashcards Quizlet
Histology Of The Normal Skin Dr Sampurna Roy Md
Histology Finding Of The Normal And Ad Patient S Skin A
112 Best Histology Skin Images Anatomy Physiology
Skin Medical Student Education Tissupath
Skin Cells Layers And Histological Features Kenhub
Histology Of Juvenile Skin Of Lepidosiren Paradoxa Fitzinger
5 1 Layers Of The Skin Anatomy Physiology
The 5 Layers Of Your Skin Dr Leslie Baumann
Intergumentary System Basics Histology And Effluorescence
Blue Histology Integumentary System
Skin Histology And Microtopography Of Papuan White Snake
Chapter 13 Page 2 Histologyolm
Histoquarterly Skin Histology Blog
Histological Section Showing Skin Morphology Of A Primitive
Anatomy Gross Anatomy Physiology Cells Cytology Cell
Histology Of Skin Faculty Of Medicine
5 1 Layers Of The Skin Anatomy Physiology
9 Slide 4 Axillary Skin Aoana02t2 Studocu
Thick Skin Labeled Histology Thick Skin Mitosis Color
Characterization Of The Human Ridged And Non Ridged Skin A
9 Slide 4 Axillary Skin Aoana02t2 Studocu
Introduction Dermatology Ppt Download
Tv2001 2016 Histology Skin And Adnexa Veterinary Science
What Is The Difference Between Thick And Thin Skin Pediaa Com
Normal Histological Structure Of The Epidermis With
Skin Ultrastructure Epidermis Dermis Teachmeanatomy
Animal Organs Integument Thin Skin Atlas Of Plant And
Medivisuals Skin Layers Medical Illustration
Skin Thickness As A Potential Marker Of Gestational Age At
Skin Cells Layers And Histological Features Kenhub
Animal Organs Integument Thin Skin Atlas Of Plant And
Integument Histology Notes Medical Histology Jacobs
Normal Skin Histology Embryology Function Blood Supply
Integumentary System Development Embryology
Histology Skin My Aimst University Lifestyle Blog
Plos One Ischemia Reperfusion Injury In A Rat Microvascular
Skin Histology Skin Layers Epidermis Epidermis Art Skin Layers Watercolor Skin Layers Stratum Corneum Science Art
Anguilla Anguilla European Eel Skin And Epidermis Vertical Section 200x
Dictionary Normal Skin The Human Protein Atlas
Copyright C The Mcgraw Hill Companies Chapter 18 Skin
Hair Follicle 230183665 Image Stock Photo
Hypodermis Subcutis Subcutaneous Tissue Veterinary
Aging Skin Histology Physiology And Pathology
Overview Histology Of Skin Structure Showing The 3 Main
Dictionary Normal Anal Skin The Human Protein Atlas
Study Of The Skin Anatomy With High Frequency 22 Mhz
Histology World Histology Fact Sheet Skin Appendages
Ppt The Normal Histologic Appearance Of The Skin
Integumentary Surface Of The Bird Poultry Hub
Skin Medical Student Education Tissupath
The Dynamic Natural Skin Care Skin Care Skin Histology
Histology Skin Part 1 Diagram Quizlet
Allometric Scaling Of Skin Thickness Elasticity
5 1 Layers Of The Skin Anatomy Physiology
Histology Of Pig Skin Photography Reprinted From 7 And
Radio Frequency Assisted Liposuction Rfal Intechopen
Histology Drawings The Internet Library Of Cortese
Skin Histology Stock Photos Images Photography Shutterstock
Microscopic Histology Images Skin
Mcq On Histology Of Integumentary System Medsynapses
Bioengineering The Microanatomy Of Human Skin Roger 2019

















Comments
Post a Comment